メタルフリー

美容審美歯科近年、歯の見た目をより良くする審美歯科治療が注目されていますが、特殊な薬剤を用いて歯を白くするホワイトニング、金属を使用せずメタルフリーなセラミック素材を使用して、より自然な仕上がりと白い歯を手に入れるセラミック治療は欠かせないものになっております。
ここではホワイトニングや白い詰め物、被せ物にするために使うセラミックの種類について紹介していきます。

 

ホワイトニング

笑うときに歯のくすみや汚れが気になって、思いっきり笑えないということはありませんか?
輝くような白い歯を持つ方の笑顔は、眩しいものです。
白く美しい歯を手に入れて、もっとステキな笑顔になってみませんか?

ホワイトニングとは、歯に薬液を塗布することで歯の汚れや着色を消し、白くする方法です。ホワイトニングによって、歯の色調を明るくすることにより、白くすることが可能です。 また、ホワイトニングには「オフィスホワイトニング」と 「ホームホワイトニング」の2種類があり、 それぞれ特徴が異なります。

メタルフリーのセラミック治療

メタルフリーセラミック虫歯になったときのあの銀色のインレー(詰め物)やクラウン(かぶせ物)が気になる・・・。

 

そんな方は意外と多いと思います。セラミックの素材を使えば機能的で丈夫な白い歯を手に入れることが出来ます。セラミックは金属を用いないで治療をするため身体に優しいメタルフリー治療といえます。特に金属アレルギーの方には最適な治療です。

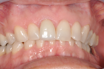
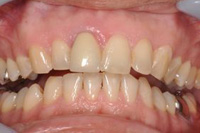
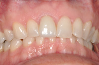
ホワイトニングの症例

治療前

ホワイトニング治療前

治療後

ホワイトニング治療後

ナチュラルな白い歯になりました。歯科医院で行うホワイトニングは歯を削ることなく自身の歯の色だけを変えるものなので、このような良好な結果になります。

従来の素材とセラミックの比較

セラミックは、自然な光を透過する優れた美しさだけでなく、硬すぎて他の歯を傷つけることもない、強さとしなやかさまでも兼ね備えた理想的な材料です。

 

金属を一切使わないため、金属アレルギーの患者様にも安心してご利用いただけるという利点もあります。また、お口の中の歯肉とのなじみも良いため、かぶせ物周辺の歯肉の健康も維持できます。

 

セラミックは、お口の中のどの部分にも、様々な形で装着できますので、あなたのお口に合った最善の治療法を見つけてください。

 

素材
メリット
デメリット
保険適用

硬質レジン

プラスチックの素材で保険範囲内での治療が可能。 変色・着色がしやすく、強度は低く破折・摩耗しやすい。 〇

メタルボンド

陶材と金属を焼き付けて作るので強度に優れている。 金属の裏打ちした冠は経年的に金属が露出して歯肉との境目が黒く見えたりするため審美的に優れていない。 ×

ハイブリッド
セラミック

オールセラミックより安価。プラスチックとセラミックを混合した素材。歯肉が黒ずみにくく、金属を使用しない。 耐摩耗性がやや劣る。オールセラミックと比較して、修復時の色ツヤが劣化しやすい。 ×

オールセラミック

歯肉が黒ずみにくく高い強度と生体親和性がある。天然歯同様の自然な仕上がりが期待できる。金属を使用しない。 保険適応外のため治療費が高い。 ×