矯正歯科・歯並び治療

① 食べ物が歯間に挟まり、歯磨きがしにくく虫歯や歯周病になりやすい
② 食べ物をよくかみ砕けず、胃腸などの消化器に負担がかかる
③ 上下のアゴの発育や、顔の成長に影響を与えて、不調和をもたらす
④ 上下のアゴをつなぐ顎関節に負担がかかり、顎関節症になりやすい
⑤ 咀嚼筋の発達に影響を与え、筋力バランスが崩れて姿勢も悪くなる
⑥ 正しい発音がしにくくなる
⑦ 視力低下の原因になるといわれ、学力や運動能力の低下を招きやすい

江戸川橋 歯列矯正

 

矯正歯科歯並びを治す矯正歯科・歯列矯正治療は、歯の位置を動かし、歯並びや噛み合わせを治す方法です。

 

専門の矯正器具を使用して歯を正しい位置にゆっくりと動かしていきます。矯正治療をすることで歯並びや噛み合わせがよくなるだけでなく、虫歯や歯周病の予防にも有効です。そして、口腔内の環境も改善されていきます。

歯並びが悪ければ、かみ合わせも悪いので、全身の健康に大きく影響を与えます。それは肉体的なものばかりでなく、精神的にも負担となります。

マウスピース矯正

矯正歯科マウスピース矯正とは、透明のマウスピースを装着し、歯を徐々に移動させる矯正歯科の治療方法です。

 

マウスピース交換の期間や装着時間等は症例によって多少異なりますが、約1ヶ月間毎に新しいマウスピースに交換しながら一日20時間以上装着していきます。装置の脱着が可能な上、透明で目立たないので矯正をしている事がほとんど分からないのが最大の特徴です。

 

「歯並びは直したいけど金属ワイヤーやブラケットを長期間つけるのには抵抗がある」という方には、とくにオススメです。

矯正歯科・歯並び治療

① 矯正器具が目立たない
② 取り外し式なので清潔
③ 矯正中でも虫歯治療ができる
④ 異物感や痛みが少ない
⑤ 矯正費用が安い

小児矯正(子供の矯正)

小児矯正・子供の矯正乳歯が生え始めてから10年前後を経過して永久歯の咬合が完成します。この間に噛み合せが悪くなった場合、通常では2期に分けた矯正歯科治療をします。

 

まず、初期治療(早期治療)は3歳~12歳頃までの永久歯の咬合完成前の段階で、良好な噛み合せが形成されるように誘導する咬合発育治療です。この時期は大きな成長発育期にあるので比較的簡単な装置で歯の位置や、顎の骨の位置の改善を行います。

 

第2に本格治療は永久歯の咬合がほぼ完成し、大きな成長期が過ぎ、厳密に歯を動かしてよい噛み合せを形成するために固定式の装置を使用して矯正を行います。

 

当院は小児矯正が得意なドクター・スタッフが揃っていますので、どうぞお気軽にお越しください。

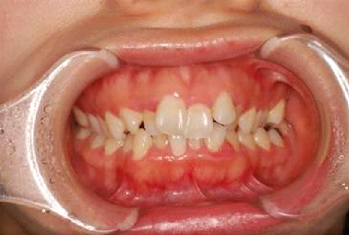
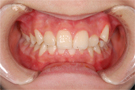
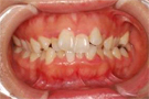
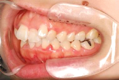
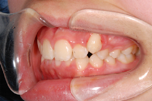
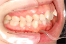
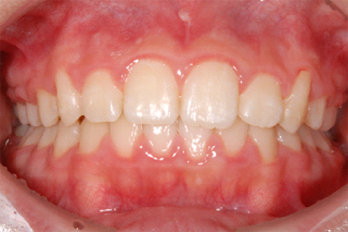
叢生・乱ぐい歯の非抜歯矯正

治療前 (2009年3月)

叢生・乱ぐい歯の非抜歯矯正・治療前右側

叢生・乱ぐい歯の非抜歯矯正・治療前正面

叢生・乱ぐい歯の非抜歯矯正・治療前左側

治療後 (2012年2月)

叢生・乱ぐい歯の非抜歯矯正・治療後右側

叢生・乱ぐい歯の非抜歯矯正・治療後正面

叢生・乱ぐい歯の非抜歯矯正・治療後左側

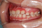
下顎前突

治療前 (2007年7月)

下顎前突・治療前右側

下顎前突・治療前正面

下顎前突・治療前左側

治療後 (2009年4月)

下顎前突・治療後右側

下顎前突・治療後正面

下顎前突・治療後左側

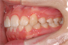
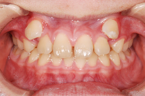
八重歯の非抜歯矯正

治療前 (2009年4月)

八重歯の非抜歯矯正・治療前右側

八重歯の非抜歯矯正・治療前正面

八重歯の非抜歯矯正・治療前左側

治療後 (2011年3月)

八重歯の非抜歯矯正・治療後右側

八重歯の非抜歯矯正・治療後正面

八重歯の非抜歯矯正・治療後左側

マウスピース矯正

治療前

マウスピース矯正・治療前右側

マウスピース矯正・治療前正面

マウスピース矯正・治療前左側

治療後

マウスピース矯正・治療後右側

マウスピース矯正・治療後正面

マウスピース矯正・治療後左側